更新时间:2023-11-23 05:36点击:
南都讯 记者李春花 通讯员 王慧 75岁的何阿姨,常年受到双膝关节疼痛的折磨,近日疼痛愈加严重,双侧膝关节逐渐弯曲变形,辗转来到广医三院关节外科就诊,因患者合并痛风和糖尿病,手术需要微创、快速、精准,关节外科副主任张弛团队运用AI-KNEE的人工智能系统进行术前精准规划,患者术后次日即可无痛下地行走。据悉,本案例为广东省首例人工智能术前规划系统辅助的膝关节置换手术。
七旬老人膝关节疼痛十几年,多种基础疾病手术棘手
何阿姨今年75岁,双膝关节疼痛已经折磨她长达十余年,辗转各家医院求医,中药西药吃了不少,却总是治标不治本。近期,何阿姨双侧膝关节逐渐弯曲变形,到后来变得伸不直也曲不下,膝盖部位也是加倍疼痛,辗转来到广州医科大学附属第三医院关节外科就诊。
术前X光检查显示何阿姨左膝关节软骨完全磨损,髌上囊及股骨后髁大量骨赘增生,何阿姨尽管行动不便、疼痛难忍,却对手术顾虑较大。“如果不进行手术根治,日后不但难以行走,更会因为长期不运动,使得心肺功能下降,原有的高血压、糖尿病等基础疾病也难以控制。”张弛分析了手术的必要性和有效性,最终患者和家属一致决定进行手术,但手术的难题却也如同“拦路虎”一样出现。

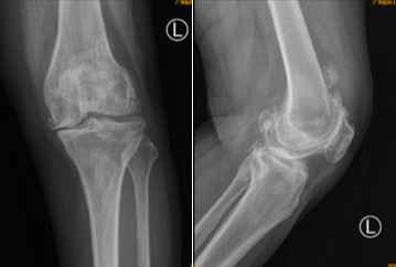
术前X光片提示患者左膝关节软骨完全磨损,髌上囊及股骨后髁大量骨赘增生。
“经过完整的检查发现,患者不仅是关节的磨损和变形,大量骨刺堆积在股骨后髁造成她的关节屈伸受限,更为棘手的是,患者还合并痛风和糖尿病,还要同时在手术中清除关节内的痛风石,而糖尿病的患者一定要控制手术时间,防止感染几率升高。”张弛副主任医师解释说,“如何做到微创、快速、精准的完成手术成为最大的难题。”
人工智能术前规划,术后次日即可无痛下地行走
日前,广医三院引进了AI-HIP人工智能髋关节置换术前规划系统,并成功实施多例髋关节置换手术,帮助患者术前进行精准术前规划,为诸多老年患者解决了手术精准度、速度的难题,取得了较好的反响。如果将人工智能术前规划系统应用到全膝关节的手术中,那么何阿姨的手术难题将迎刃而解。
对此,张弛团队在与患者及家属充分沟通后,决定使用人工智能系统辅助置换全膝关节。专家在系统中上传患者的CT资料,人工智能便快速完成了术前规划,其模拟的假体型号及角度、位置十分精准。

人工智能术前规划模拟出精准的假体大小和位置。
“传统的全膝关节置换术极其依赖术中所见及骨科医生的临床经验,医生常需于术中反复比对以寻找最适假体大小,由于患者个体差异大、病情复杂等问题,导致全膝关节置换术后患者满意度偏低。”张弛解释说,“该患者病情复杂,通过人工智能辅助,能够在术前精准规划,帮助手术更快速、更精准的实现。”
8月20日,在手术室和麻醉科的密切配合下,张弛团队为患者顺利实施了左侧膝关节表面置换手术,术中发现膝关节严重磨损,大量痛风石堆积。由于术前人工智能的精准测量,使得手术步骤简化,耗时1个半小时就安装好假体完成了手术,整个手术出血不到30毫升。

术中运用后交叉韧带保留型的假体进行膝关节表面置换,术后复查照片精准复制了人工智能测量的结果。
据悉,今年7月20日,国家骨科与运动康复临床医学研究中心批准了《评价使用人工智能初次全髋关节置换术规划系统精准性的多中心前瞻性临床试验》科研项目立项,广医三院成为全国26家首批加入该研究的定点单位之一。
近日,张弛团队已陆续为三名女性患者进行了AI-KNEE辅助膝关节置换手术,患者术后次日均可下地行走,疗效显著。
图:广医三院提供